Types Of Appliances

Types Of Appliances

Transpalatal Arch IPalatal Expander ITwin Block I Headgear | Lower Lingual Arch | Nance Appliance | Thumb/Finger Appliance |Forsus

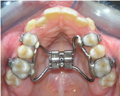
The transpalatal arch (TPA) is a commonly used appliance for holding the molar teeth in the upper arch. Usually, a prefabricated or individually prepared removable
TPA is used and placed in tubes on the palatal side of the molar bands.
You should expect soreness the first day or two, and it may hurt to chew. We recommend a soft diet initially. Avoid sticky or hard foods, and please monitor how many foods you eat that are high in sugar.
Brushing and flossing daily is very important.

PALATAL EXPANDER

A palatal expander, also known as a rapid palatal expander is used to widen the upper jaw so that the bottom and upper teeth will fit together better. The use of an expander is most common in children. Use of a palatal expander is most often followed by braces to straighten out all the teeth now that room has been created.
Although it may vary from person to person, most usually feel slight pressure on their teeth. As the patient turns the expansion screw using the key, a space develops between the front two teeth. Some may develop a large space while others do not develop a space at all. It usually takes a week or two for one to adjust to eating and speaking after first receiving the rapid palatal expander. Patients may experience pain and headaches while wearing palatal expanders and when the screw is turned. They may also feel a sore on their tongue from contact with the expander's metal bars. This is a common phenomenon which resolves in time.

TWIN BLOCK

Twin Block appliances are simple bite blocks that are designed for full-time wear. They achieve rapid functional correction of malocclusion by the transmission of favourable occlusal forces to occlusal inclined planes that cover the posterior teeth. Its purpose is to lengthen the lower jaw by posturing it forward. If the jaw grows during treatment, it naturally grows at a faster rate; otherwise the appliance is useless. Treatment time varies, but is generally around 9 months.
This appliance can be used to correct large overjets and deficient lower jaw in children in growing age. It is a very comfortable appliance and in a few months produces remarkable change in the face. This appliance corrects not just the teeth but the overall facial appearance of the patient.

Headgear

Headgear is often used to correct an excessive overbite. This is done by placing pressure against the upper teeth and jaw, which would hold the teeth in position or help move them into better positions. The severity of the problem determines the length of time headgear needs to be worn. The key to success with your headgear appliance is consistency. Headgear must be worn a certain number of hours per day, and if not, it must be made up the following day. Headgear should never be worn while playing sports and should also be removed while eating or brushing your teeth.

Lower Lingual Arch

A Lower Lingual Arch acts as a space maintainer to keep the molars from drifting forward, and prevent them from blocking the space where permanent teeth will eventually erupt. This appliance is commonly used in cases of premature loss of baby tooth or when the lower teeth of a growing child are slightly crowded and no permanent teeth are extracted to correct the problem.
You should expect soreness the first day or two, and it may hurt to chew. We recommend a soft diet initially. Avoid sticky or hard foods, and please monitor how many foods you eat that are high in sugar.
Brushing and flossing daily is very important. Be sure to clean around the bands that are connected to the molars and the wire on the tongue side. This will prevent the formation of cavities or infection of the gums.
The duration of wear varies. We will monitor the eruption of new teeth and make adjustments. Generally, the Lower Lingual Arch is removed following the eruption of all the permanent teeth.

Nance Appliance

The Nance Appliance is used to prevent upper molars from rotating or moving forward after you've worn a headgear, a Wilson's arch or any other appliance to move your molars back. Some patients wear the Nance Appliance while they are awaiting their bicuspids to grow into place.
The appliance is made of two bands that are cemented onto the first molars and a wire spans the roof of the mouth from one molar to the other. An acrylic pad or "button" covers the wire that touches the roof of your mouth directly behind your front teeth.
Patients should always brush around the bands daily. Do not eat sticky, chewy candy as it can loosen your appliance.

Thumb/Finger Appliance

Sucking is a natural reflex that relaxes and comforts babies and toddlers. Children usually cease thumb sucking when the permanent front teeth are ready to erupt. Typically, children stop between the ages of 2 and 4 years. Thumb sucking that persists beyond the eruption of primary teeth can cause improper growth of the mouth and misalignment of the teeth. If you notice prolonged and/or vigorous thumb sucking behavior in your child, talk to your dentist.
One solution to thumb sucking is an appliance called a "fixed palatal crib." This appliance is put on the child's upper teeth by an orthodontist. It's placed behind on the upper teeth on the roof of the mouth. The crib consists of semicircular stainless steel wires that are fastened to molars using steel bands. The stainless steel wires fit behind the child's upper front teeth, and they are barely visible. The crib usually stops the habit of thumb sucking within the first day of use.

Forsus

The Forsus appliance is used in order to help move the upper molars back while moving the lower arch forward. Composed of a spring coil rod, the appliance is used while a patient is currently wearing braces. It runs from the upper first molar band down to the lower archwire.
You may notice some discomfort initially, so we recommend a soft food diet for the first few days after the appliance is placed. Regular anti-inflammatory medication may help with any pain, if needed. It is important to keep the appliance clean; you may do this by carefully brushing the coil and other metal pieces of the appliance. Also, we recommend that patients not open their mouths very wide, as the appliance may come apart.
If your Forsus appliance breaks, please contact our office immediately to schedule a repair appointment