COMMON PROBLEMS

COMMON PROBLEMS

Malocclusion Malocclusion literally means "bad bite" and is the number one reason people see an orthodontist. There are many different forms of "bad bites" which can lead to a variety of complications.
There are many causes of malocclusion. Genetics are one of the leading factors. A child may be born with a disproportionate jaw. There are also environmental factors, such as thumb sucking beyond the age of 4.

Crowded Teeth Crowded teeth, the opposite of spacing, is caused when there just isn't enough space in the mouth for all of the teeth.
Crowding just gets worse over time as one tooth pushes over the other leading to overlapping teeth. Crowded teeth are harder to clean than straight teeth which will lead to cavities and tooth decay. Crowding can often be corrected by expansion so as to avoid tooth removal. Protruded Teeth When the upper front teeth stick out too far forward, or the lower teeth don't extend enough this is called protrusion. Because of the abnormal contact between the upper and lower front teeth it could cause injury to the lower teeth. It also causes poor bites and uneven jaw growth. This problem can be caused by thumb and finger sucking.

Underbite With an underbite, the lower jaw is longer than the upper which causes the lower teeth to protrude in front of the upper teeth.
It is best to diagnose this problem early

Overbite An overbite, or deep bite is when the front teeth cover the lower teeth too much.
An excessive overbite leads to wearing down of the teeth and even may cause the bottom teeth to bite into the roof of the mouth.

Spacing The malocclusion known as spacing is too much room between the teeth. Spacing can occur if teeth are missing, small or if the dental arch is wide. The most common complaint from patients with excessive spacing is cosmetic.

Cross Bite A cross bite is when the back upper teeth fit inside of the lower back teeth.
A cross bite causes tooth stratification and misaligned jaw growth.

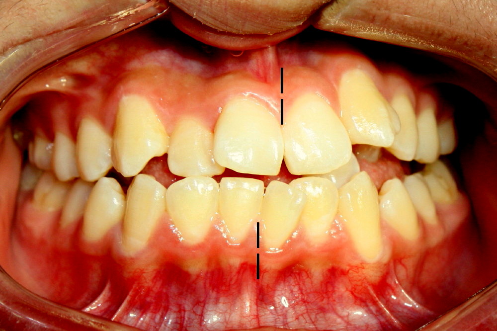
Midlines Off In a perfectly aligned face there should be a straight line from the bridge of the nose to the bottom teeth...all should be lined up. If they are not and the bottom teeth are misaligned from the top teeth, then your midlines are off.
When your midlines are off, your teeth could drift or your lower jaw could be shifter which would result in an improper bite.

Open Bite The common result of thumb sucking or tongue thrusting, an open bite is when you can stick your tongue between your teeth while biting down.
An open bite is a cosmetic problem, but it can also cause chewing problems.

Periodontal & Pre-restorative Many adults suffer from periodontal (gum disease) and worn teeth. Often times this is related to malpositioned teeth which are difficult to clean and contact improperly which leads to excessive wear. Orthodontic treatment realigns the teeth and establishes a healthy bite, allowing for worn teeth to be restored to their original dimensions.