Dental Fillings

Dental Fillings

What causes cavities?
Cavities are caused when bacteria normally present in your mouth begin to multiply, attacking the enamel surface of teeth and working their way into cracks and crevices where they can release acids and break down your tooth material and structure.

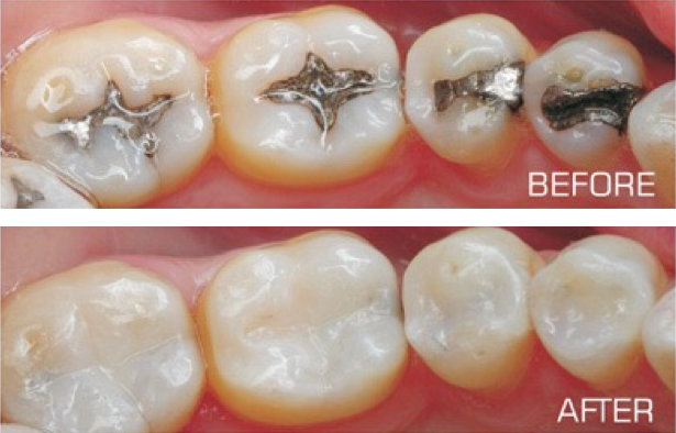
How are cavities treated? Once a cavity has been discovered, the first step is to evaluate the extent of the decay. Once the extent of the decay has been assessed, the next step is to carefully and thoroughly remove the decayed portion as well as any surrounding debris to provide a clean surface for the filling material. Global Dental Care is a mercury-free practice, which means we use strong tooth-colored resins to fill cavities. Composite fillings have several advantages over metal fillings:
• They're mercury-free, which eliminates any risk of mercury contamination.
• They can be tinted to match your teeth so they're virtually invisible.
• Their superior bonding ability makes them an ideal choice for restoration of large cavities.
• Unlike metal fillings that can weaken teeth, composite resin fillings provide additional strength to the tooth structure.