Dental Bridges

Dental Bridges

Missing teeth are not only aesthetically unappealing, but the absence of teeth can also lead to certain oral health problems and bite misalignment. There are several ways missing teeth can be replaced, dental bridges being one of them.

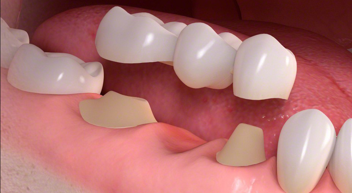
Dental Bridges to Restore Your Smile These devices work by bridging the gap left by a missing tooth. Using the surrounding teeth for support, the dental bridge holds a replacement tooth in the gap. The replacement tooth is supported by dental crowns on either side, which are placed over the surrounding natural teeth. The result is an aesthetically pleasing replacement tooth system that is also durable and strong because it is anchored to your teeth.

The only way to know which tooth replacement system will work best for you is to visit our dentists for a consultation. There are a number of restorations that may be a good option for your goals and expectations, including dental implants or an implant-supported dental bridge.

Why Choose a Dental Bridge? These devices work by bridging the gap left by a missing tooth. Using the surrounding teeth for support, the dental bridge holds a replacement tooth in the gap. The replacement tooth is supported by dental crowns on either side, which are placed over the surrounding natural teeth. The result is an aesthetically pleasing replacement tooth system that is also durable and strong because it is anchored to your teeth.
Each tooth replacement option has its own advantages. Dental bridges, for instance, are the treatment of choice for some patients because of the following benefits:
• Convenience of a fixed appliance means you do not have to remove it each night like removable dentures
• Anchor to other teeth provides a stable, secure appliance for eating, speaking and laughing
• Restores an aesthetically pleasing smile